
红网时刻衡阳1月16日讯(通讯员 唐振 )近日,南华大学附属第一医院胃肠外科经过多学科合作,成功治愈65岁腹膜后巨大肿瘤患者。
患者徐奶奶,反复腹痛腹胀2年多,4个月前曾在外院诊断为腹膜后巨大肿瘤,考虑手术风险大,手术难度高,不得已放弃手术。但患者腹痛持续加重,逐渐难以忍受,近日多方打听后慕名来到南华附一医院。患者入院时腹部膨隆犹如足月孕妇,排大便、弯腰都十分困难,生活行动非常不便,严重影响生活质量和生命安全,患者及家人非常焦虑。
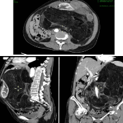
入院后,该患者行CT示左侧腹膜后巨大肿瘤,大小约40 cm x30 cm x25cm,肿瘤紧邻主动脉、下腔静脉、腹腔干、肠系膜上动脉等重要血管,脾动静脉、左肾、左肾动静脉、左输尿管已经被肿瘤包裹并明显移位向前贴近腹壁,脾脏、胰体尾部、肾脏明显受压变形特别是左肾明显变小,小肠及系膜已经明显受压挤至右外侧,左半结肠明显受压,导致病情十分复杂,若手术将极易损伤上述重要血管和脏器,因此手术难度极大、风险极高。
南华附一副院长黄秋林教授详细了解患者病情后,没有丝毫推脱与畏惧,高度重视,立即组织科室精干力量,并邀请科室名老专家杨林教授会诊讨论诊治方案。为确保万无一失,并邀请泌尿外科、放射科、麻醉科、妇科、肿瘤内科等多学科专家开展全院大会诊,为患者量身定制各项术前准备及治疗预案。
经过缜密部署和精心筹备,在杨林教授亲自指导下,黄秋林率领胃肠外科最强大的临床团队,历时约3小时,行云流水般完整切除了徐奶奶腹膜后巨大肿瘤,且完整保留了胰腺、脾脏、小肠与结肠及其系膜,展示了高超的专业水准,术后称量发现肿瘤足足有12.5斤,相当于约2个婴儿重量!术后治疗团队积极运用国际上最先进的快速康复治疗(ERAS)理念指导患者恢复,仅仅9天患者即康复良好,顺利出院。
此次腹膜后巨大肿瘤切除,是该院胃肠外科在顶住新冠疫情防控与常规医疗工作的多重压力下,冒着极大的风险,急患者之所急,想患者之所想,为患者成功卸下了沉重的包袱,在全体医护人员身体尚未完全康复、医疗资源挤兑艰难条件下,舍生取义、守望相助,真正解决患者的急难愁盼问题的又一缩影。
南华大学附属第一医院胃肠外科是湖南省临床重点专科、湖南省胃癌研究中心、南华大学国家重点专科培育科室、中国医师协会腹腔镜外科培训基地。学科技术力量雄厚,在胃肠肿瘤及腹膜后肿瘤等疾病诊疗中不辞艰辛、积极创新,屡次挑战生命禁区、创造生命奇迹,并在复杂胃肠肿瘤及疑难重症诊治中积累了丰富经验。科室规模、重点病种手术量和技术水平均居国内一流、省内领先水平,收治疾病范围涵盖全胃肠道脏器及腹壁、腹膜后疾病等。
目前,胃肠外科正以“创建国家临床重点专科,构建国内一流高水平胃肠外科中心”为建设目标,锐意进取,已在省内创造多个“第一”和“率先”。下一步,将以实际行动助力医院实现 “双百计划”和“十四五”奋斗目标,为人民健康保驾护航。
来源:红网
作者:唐振 谭倩
编辑:石珊
本站原创文章,转载请附上原文链接。
