
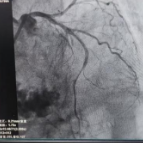
介入手术前

介入手术后
红网时刻新闻11月29日讯(通讯员 邹勇 王玮 彭彦)近日,衡阳市第一人民医院心血管介入团队为一名97岁高龄的急性心肌梗死患者顺利实施经皮冠状动脉成形术(PCI术),DtoW(患者进入医院大门到工作导丝通过病变靶血管)时间59分钟,成功挽救高龄老人生命,术后9天康复出院。
患者左爷爷,既往高血压病史多年,近期时常感阵发性心前区隐痛及憋闷,11月10日因胸痛10余小时就诊苗圃社区卫生服务中心(衡阳市第一人民医院胸痛单元),完善心电图检查提示急性前壁ST段抬高型心肌梗死,立即由120急救车转运至衡阳市第一人民医院。胸痛中心迅速启动胸痛救治流程,冠脉造影提示前降支中段狭窄99%,其远端TIMI血流1级,考虑患者超高龄,基础疾病多,出现恶性心律失常、心源性休克、心梗后机械并发症、泵功能衰竭、猝死等概率极高,同时予以充分抗栓后出血风险明显增加。经过紧密的术前讨论决定开通病变血管后予以药物球囊干预处理,术中患者出现了恶性室性心律失常、血压及心率急剧下降、球囊扩张后无复流等层层生死关卡。最终经充分扩张靶血管病变后于前降支中段行药物涂层球囊处理,复查造影显示前降支中段残余狭窄约30%,其远端TIMI血流恢复至3级,未见夹层、血管及冠脉破裂,术后患者安全返回ICU病房。
重获健康的左爷爷及其家属对医院心血管内科医护团队的精湛医术和细致服务赞不绝口,称其为“59分钟的生死时速”。
据介绍,左爷爷是医院实施冠脉介入手术以来年龄最高的患者,在业内也属少见,这是医院在冠脉介入手术领域的又一突破,并为今后超高老龄患者的冠脉介入手术积累了宝贵经验。
来源:红网
作者:邹勇 王玮 彭彦
编辑:阳正坤
本站原创文章,转载请附上原文链接。
